Die Multiple Sklerose (MS) ist eine Autoimmunerkrankung des zentralen Nervensystems, von der in Österreich etwa 12000 Menschen betroffen sind, Frauen bis zu 3x häufiger als Männer.
Durch eine Art Überfunktion des Immunsystems kommt es bei der MS zu einem Angriff von Abwehrzellen, deren eigentliche Aufgabe die Abwehr von Infektionen ist, auf die Nervenzellen. Vor allem die Isolationsschicht der Nervenzelle, die sog. Myelinscheide ist am Beginn der Erkrankung Ziel dieses Angriffes. Eine Verletzung dieser Isolierschicht wird die Informationsübertragung gestört, wodurch – je nach Ort der Schädigung – neurologische Probleme entstehen.
Der Verlauf der Erkrankung ist vielfältig. Am Beginn verlaufen die Angriffe der Abwehrzellen auf das Nervensystem in Schüben, dementsprechend treten auch die Beschwerden in Schüben auf, während die Patienten zwischen diesen Schüben völlig beschwerdefrei sein können (sog. schubförmiger Verlauf). Nach 15-20 Jahren ändert die Erkrankung bei der Mehrzahl der Patienten ihr Gesicht, die Beschwerden verschwinden nicht mehr völlig und es kommt gleichzeitig zu einer langsam schleichenden Verschlechterung, sodass auch von einer sekundär chronisch-progredienter MS gesprochen wird. Bei einer Minderheit von Patienten beginnt die Erkrankung dagegen schleichend, ohne Schübe. Diese sog. primär chronisch-progrediente Verlaufsform ist, v.a. in der Frühphase, oft schwierig zu erkennen.
Die Beschwerden, die bei einem Schub auftreten sind mannigfach, weshalb man die MS früher auch als die Erkrankung mit den 1000 Gesichtern bezeichnet hat. Je nach Ort der Entzündung im Gehirn kann es zu Sehstörungen, Gefühlsstörungen und Missempfindungen, Lähmungen, Koordinationsstörungen und Schwindel kommen. Aber auch Beschwerden, die für Außenstehende nicht sichtbar sind, wie beispielsweise chronische Müdigkeit, Blasenfunktionsstörungen, Muskelsteifigkeit (Spastik) oder Gedächtnisprobleme können auftreten. Bei der chronisch-progredienten Verlaufsform stehen fast immer Probleme beim Gehen im Vordergrund.
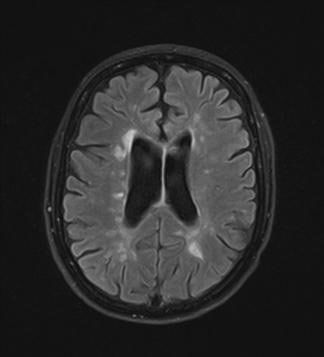
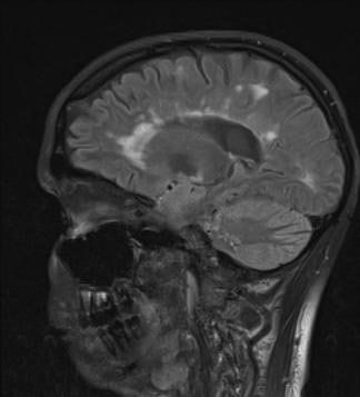
Die Diagnose der Multiplen Sklerose basiert auf folgenden Untersuchungen: In den meisten Fällen ergibt sich durch eine sorgfältige Befragung und neurologische Untersuchung des Patienten bereits ein hinreichender Verdacht auf das Vorliegen der Erkrankung. Zur Bestätigung wird dann eine Magnetresonanztomographie des Gehirns und des Rückenmarks, eine Lumbalpunktion (zwecks Untersuchung des Nervenwassers – sog. Liquor – auf entzündliche Veränderungen, den sog. oligoklonale Banden) und elektrische Untersuchungen (visuell evozierte Potenziale, VEP) durchgeführt. Dies alles sowie diverse Blutuntersuchungen dienen dem Ausschluss anderer Erkrankungen, die ähnliche Beschwerden verursachen können. Allerdings kann keine dieser Untersuchungen alleine die Diagnose MS sichern, manchmal bleibt es am Beginn bei dem Verdacht und erst im weiteren Verlauf und einer Beobachtungszeit von mehreren Monaten wird die Diagnose sicher.
Bei der Therapie der MS unterscheidet man zwischen der Therapie des akuten Schubes, einer vorbeugenden immunmodulatorischen Therapie sowie einer Therapie bestimmter Beschwerden der MS (sog. symptomatische Therapie). Während die Schubtherapie mittels Kortisoninfusionen seit Jahrzehnten unverändert ist, unterliegt die immunmodulatorische Therapie der schubförmigen MS in den letzten Jahren einem dramatischen Wandel mit immer mehr neuen Therapien, die zum Teil nicht nur deutlich wirksamer, sondern auch wesentlich angenehmer zu verabreichen sind. Ein bis heute weitgehend ungelöstes Problem ist die Therapie der chronisch-progredienten MS, für die es zurzeit keine vorbeugende Therapie gibt. Gerade in diesem Bereich ist allerdings in den nächsten Jahren mit zahlreichen Anstrengungen in der MS-Forschung zu rechnen, die letztlich in der Zulassung von Medikamenten auch für diese Patientengruppe führen werden.
In meiner Ordination, die von der Österr. Gesellschaft für Neurologie als MS-Zentrum zugelassen ist, kann ich Ihnen alle zugelassenen Therapien der MS anbieten. Darüber hinaus informiere ich Sie gerne über die Möglichkeit der Teilnahme an klinischen Prüfungen, v.a. bei chronisch-progredienter MS. Solche Studien werden von mir an der Universitätsklinik für Neurologie im Allg. Krankenhaus in Wien durchgeführt. Auch zahlreiche Studien zur symptomatischen Therapie (dzt. v. a. chronische Müdigkeit, Gangstörung) kann ich Ihnen dort anbieten.
